APENDICECTOMIA LAPAROSCÓPICA

Lic. Enf. Silvia Melgarejo López 

Sala de Operaciones - Hospital de Emergencias Grau - EsSalud

E-mail: smelgarejo71@hotmail.com

Ponencia presentado en formato power point en el I Curso Nacional de Actualización de Técnicas e Instrumentación Quirúrgica en Emergencias - Organizado por Unidad de Docencia y Capacitación - Departamento de Emergencia Hospital Nacional Dos de Mayo - Del 19 al 21 Julio 2002

Modificación, Edición y Diseño Por Lic. Enf. Marcelino Auccasi - WS de Rutas de Enfermería. Para comentarios y  sugerencias sírvase escribir a mauccasi@yahoo.com

APENDICECTOMIA LAPAROSCÓPICA
Es una opción terapéutica distinta a los procedimientos abiertos clásicos. 

De acuerdo a la experiencia acumulada, podemos señalar que la apendicectomía laparoscópica constituye una técnica segura, con las ventajas reconocidas de la cirugía mínimamente invasiva.

La extirpación del apéndice se hace a través  de los trócares.

Los pasos básicos de la apendicectomía tradicional se mantienen invariables: identificación completa del órgano, interrupción de su irrigación, ligadura de su base, revisión y eventual drenaje. Sólo difieren las formas de hacerlo.

 

 

 

Disposición del paciente y  posición del equipo quirúrgico en el Quirófano

APENDICECTOMIA LAPAROSCÓPICA
Para esta cirugía se necesita:
  • Instrumental básico menor
  • Instrumental de cirugía laparoscópica del apéndice
  • Equipo de ropa estéril
  • Equipo de lavado
  • Tener material indispensable para probable conversión a cirugía convencional.

Instrumental Laparoscópico

EQUIPOS BIOMÉDICOS

La Torre Laparoscópico contiene:

  • Sistema óptico
  • Insuflador
  • El Sistema de coagulación
  • Videocámara
  • Monitor
  • Sistema de Documentación
  • Etc.

 

INSTRUMENTACION EN APENDICECTOMIA LAPAROSCÓPICA

PRIMER TIEMPO OPERATORIO

Colocación de conexiones propias del equipo de laparoscopia:

  • Bolsa de tela más dos pinzas de campo.

  • Tubo de insuflación de CO2

  • Cable del sistema de coagulación

  • Sistema de aspiración e irrigación

  • Manga de polietileno para la cámara

  • La óptica

  • Cable de fibra de luz

  • Gasa para balance en blanco

 

SEGUNDO  TIEMPO OPERATORIO

Instrumental de diéresis y abordaje

  • :Aguja de Veress

  • Mango de bisturí N° 3 y hoja 15

  • 02 pinzas de campo

  • Jeringa de 20 cc

  • Trócares de 10 mm y 5 mm

 

Colocación de aguja de Veress para creación de neumoperitoneo y prueba de test de la gota

Introducción del 1er trócar para realizar la laparoscopia diagnóstica 

Realizando laparoscopia diagnóstica a fin de descartar la existencia de patologías no sospechadas y descartar una posible lesión con la aguja o el trócar

Distribución del instrumental en la mesa quirúrgica

Posición de trócares y pinzas laparoscópicas correspondientes

TERCER TIEMPO OPERATORIO

Instrumental de divulsión y sección

  • Pinza de tracción ( Grasper)

  • Pinza de Babcock

  • Electrodo de Hook

  • Endotijeras

  • Ligadura laparoscópica

  • Clipadoras - clips

  • Sutura automática laparoscópica

  • Portagujas laparoscópicas

 

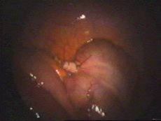
Exploración e identificación del apéndice

Presentación y tracción del apéndice

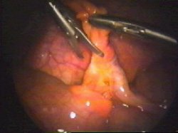
Disección del apéndice

 

 

 

 

Presentación y colocación de la ligadura

Control de hemostasia

CUARTO TIEMPO OPERATORIO

Instrumental para extracción de la pieza operatoria

  • Bolsa laparoscópica
  • Pinza extractora
  • Pinzas Kellys
  • Pinza Pean
  • Tijera de Mayo

 

Colocado la pieza dentro de una bolsa de Endocatch para ser extraído por el ombligo

QUINTO TIEMPO OPERATORIO

Instrumental de síntesis

  • Portaguja chico
  • Pinza de disección con uña
  • Tijera de mayo
  • Separador de Farabeau
  • Suturas

 

RECOMENDACIONES
  • Estandarizar los procedimientos quirúrgicos
  • Desarrollar pautas de operación, seguridad y mantenimiento
  • Asegurarse de que todo el equipo e instrumental esté operativo
     

Material Publicado 28 julio del 2003

Ir a la Página de Enfermería en Cirugía Video Endoscópica